-
-
Notifications
You must be signed in to change notification settings - Fork 1.5k
MRG: Brain silhouette #8771
New issue
Have a question about this project? Sign up for a free GitHub account to open an issue and contact its maintainers and the community.
By clicking “Sign up for GitHub”, you agree to our terms of service and privacy statement. We’ll occasionally send you account related emails.
Already on GitHub? Sign in to your account
MRG: Brain silhouette #8771
Conversation
|
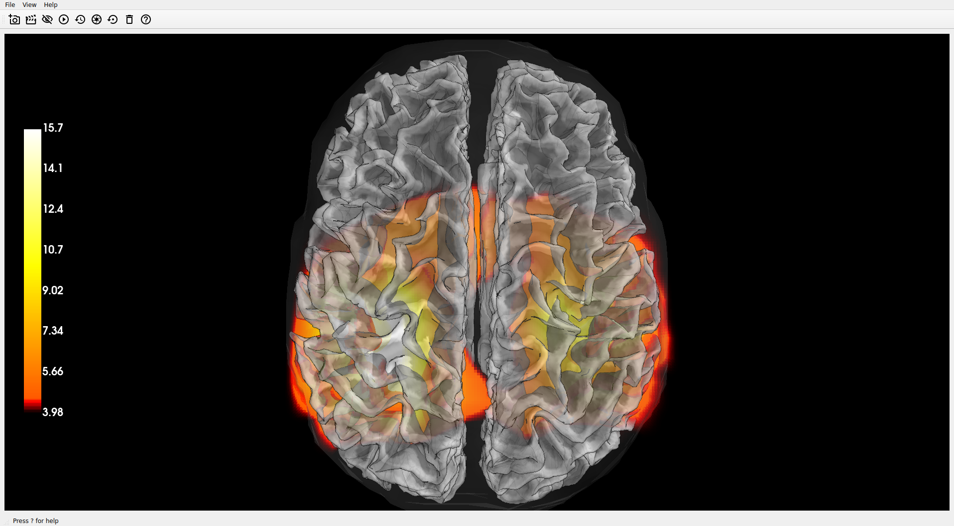
Result looks good with SSAO on
Code snippet def _enable_ssao(self, dataset):
bounds = np.asarray(dataset.GetBounds())
basic_pass = vtk.vtkRenderStepsPass()
scene_size = np.linalg.norm(bounds[:3] - bounds[3:])
ssao = vtk.vtkSSAOPass()
ssao.SetRadius(0.1 * scene_size) # comparison radius
ssao.SetBias(0.001 * scene_size) # comparison bias
ssao.SetKernelSize(128) # number of samples used
ssao.BlurOff() # do not blur occlusion
ssao.SetDelegatePass(basic_pass)
self.plotter.renderer.SetPass(ssao)But I ran into visual artifacts on Reference: https://blog.kitware.com/ssao/ |
|
Is it the combination of depth peeling + SSAO? |
I think there is a depth peeling step in |
|
So maybe you need to disable |
|
(i.e., don't call |
|
Depth peeling is disabled by default in the |
|
Avoiding |
|
After f722e74 :
|
|
Wow, that looks great! It makes all the renderings look much better in a realistic sense. In some cases it makes them less usable, such as the volumetric case -- but I think this is mostly because the brain opacity is too high in that case. Can you see what something like this example looks like? On And locally on your PR I see: |
|
Oh yeah I reproduce this on multi-renderers as well. It's trivial to solve the silhouette but SSAO gives this weird empty plot 🤔 |
|
I have the same behaviour with the standard MWEimport numpy as np
import vtk
import pyvista as pv
def _enable_ssao(plotter, dataset=None, idx=None):
lightsP = vtk.vtkLightsPass()
opaqueP = vtk.vtkOpaquePass()
translucentP = vtk.vtkTranslucentPass()
volumeP = vtk.vtkVolumetricPass()
collection = vtk.vtkRenderPassCollection()
collection.AddItem(lightsP)
# opaque passes
ssaoCamP = vtk.vtkCameraPass()
ssaoCamP.SetDelegatePass(opaqueP)
if dataset is None:
ssaoP = vtk.vtkSSAOPass()
ssaoP.SetRadius(30)
ssaoP.SetBias(0.1)
ssaoP.SetKernelSize(32)
ssaoP.SetBlur(True)
else:
bounds = np.asarray(dataset.GetBounds())
scene_size = np.linalg.norm(bounds[:3] - bounds[3:])
ssaoP = vtk.vtkSSAOPass()
ssaoP.SetRadius(0.1 * scene_size) # comparison radius
ssaoP.SetBias(0.001 * scene_size) # comparison bias
ssaoP.SetKernelSize(128) # number of samples used
ssaoP.BlurOff() # do not blur occlusion
ssaoP.SetDelegatePass(ssaoCamP)
collection.AddItem(ssaoP)
# translucent and volumic passes
ddpP = vtk.vtkDualDepthPeelingPass()
ddpP.SetTranslucentPass(translucentP)
ddpP.SetVolumetricPass(volumeP)
collection.AddItem(ddpP)
# finally overlays
overP = vtk.vtkOverlayPass()
collection.AddItem(overP)
sequence = vtk.vtkSequencePass()
sequence.SetPasses(collection)
camP = vtk.vtkCameraPass()
camP.SetDelegatePass(sequence)
if idx is None:
plotter.renderer.SetPass(camP)
else:
plotter.renderers[idx].SetPass(camP)
p = pv.Plotter(shape=(2, 1))
p.subplot(0, 0)
p.add_mesh(pv.Sphere())
_enable_ssao(p)
p.subplot(1, 0)
p.add_mesh(pv.Cone())
_enable_ssao(p)
p.show() |
|
I confirm that better isolation fixes this. I built a custom Qt Plotter that contains separated instances of Code snippetimport numpy as np
import vtk
import pyvista as pv
import pyvistaqt as pvqt
def _enable_ssao(plotter, dataset=None, idx=None):
lightsP = vtk.vtkLightsPass()
opaqueP = vtk.vtkOpaquePass()
translucentP = vtk.vtkTranslucentPass()
volumeP = vtk.vtkVolumetricPass()
collection = vtk.vtkRenderPassCollection()
collection.AddItem(lightsP)
# opaque passes
ssaoCamP = vtk.vtkCameraPass()
ssaoCamP.SetDelegatePass(opaqueP)
if dataset is None:
ssaoP = vtk.vtkSSAOPass()
ssaoP.SetRadius(30)
ssaoP.SetBias(0.1)
ssaoP.SetKernelSize(32)
ssaoP.SetBlur(True)
else:
bounds = np.asarray(dataset.GetBounds())
scene_size = np.linalg.norm(bounds[:3] - bounds[3:])
ssaoP = vtk.vtkSSAOPass()
ssaoP.SetRadius(0.1 * scene_size) # comparison radius
ssaoP.SetBias(0.001 * scene_size) # comparison bias
ssaoP.SetKernelSize(128) # number of samples used
ssaoP.BlurOff() # do not blur occlusion
ssaoP.SetDelegatePass(ssaoCamP)
collection.AddItem(ssaoP)
# translucent and volumic passes
ddpP = vtk.vtkDualDepthPeelingPass()
ddpP.SetTranslucentPass(translucentP)
ddpP.SetVolumetricPass(volumeP)
collection.AddItem(ddpP)
# finally overlays
overP = vtk.vtkOverlayPass()
collection.AddItem(overP)
sequence = vtk.vtkSequencePass()
sequence.SetPasses(collection)
camP = vtk.vtkCameraPass()
camP.SetDelegatePass(sequence)
if idx is None:
plotter.renderer.SetPass(camP)
else:
plotter.renderers[idx].SetPass(camP)
p = pvqt.Plotter(shape=(2, 2))
p.interactors[0].add_mesh(pv.Sphere())
_enable_ssao(p.interactors[0])
p.interactors[1].add_mesh(pv.Cone())
_enable_ssao(p.interactors[1])
p.interactors[2].add_mesh(pv.Box())
_enable_ssao(p.interactors[2])
p.interactors[3].add_mesh(pv.Cylinder())
_enable_ssao(p.interactors[3])
p.show() |
|
I think this can move forward without SSAO. It makes it less impactful/realistic though. SSAO will need |
|
Agreed, let's move forward with Can you modify |
larsoner
left a comment
There was a problem hiding this comment.
Choose a reason for hiding this comment
The reason will be displayed to describe this comment to others. Learn more.
mne/utils/docs.py
Outdated
| """ | ||
| docdict['brain_kwargs'] = """ | ||
| brain_kwargs : dict | None | ||
| Additional arguments to brain.__init__ (e.g., |
There was a problem hiding this comment.
Choose a reason for hiding this comment
The reason will be displayed to describe this comment to others. Learn more.
| Additional arguments to brain.__init__ (e.g., | |
| Additional arguments to the :class:`mne.viz.Brain` constructor (e.g., |
|
And don't forget |
















This PR follows #8749 (comment) and adds a
silhouetteparameter toBrain.__init__().What would be even more helpful for this kind of mesh is ambient occlusion.